ARTICLES

Movement Disorder Articles

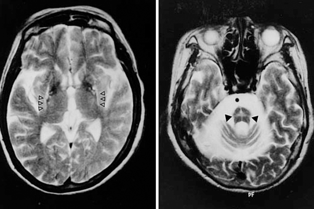
Ataxia

Learn More

Botulinum Toxin

Learn More

Corticobasal Degeneration

Learn More

Dystonia

Learn More

Essential Tremors

Learn More

Hereditary Ataxias

Learn More

Huntington’s Disease

Learn More

Multiple System Atrophy

Learn More

Parkinson’s Disease

Learn More

Progressive Supranuclear Palsy

Learn More

Restless Legs Syndrome

Learn More

Tics and Tourette Syndrome

Learn More

Wilson’s Disease

Learn More